Research from a collaboration between Shandong Agricultural University, Nanjing Agricultural University, and the Zhongshan Biological Breeding Laboratory has shed light on the genetic variations of pears, one of the oldest domesticated fruit trees. Published in Horticulture Research in May 2025, this significant study examines over 9 million single nucleotide polymorphisms (SNPs) across 232 pear accessions, revealing important insights into the genetic impact of domestication and the presence of deleterious mutations.
Pears have adapted to diverse climatic conditions through extensive genetic alterations. While previous studies have focused primarily on annual crops, the genetic patterns of perennial fruit trees like pears have not been thoroughly explored. This research aims to clarify these patterns, providing a framework for enhanced breeding practices that can yield more resilient and high-quality pear varieties.
The findings indicate that 139,335 deleterious mutations were identified within the studied accessions, predominantly concentrated in coding regions. Notably, the European pear, Pyrus communis, exhibited a higher frequency of these mutations compared to other species. The research highlighted selective sweep regions where domestication had reduced deleterious mutations in P. pyrifolia and P. bretschneideri, while in P. communis, an increase in such mutations was observed. This trend may be attributed to genetic drift during the domestication process.
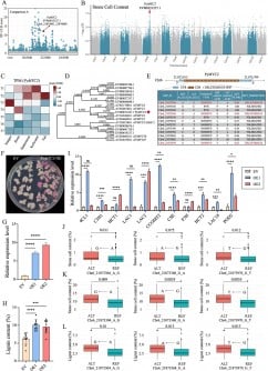
The study also emphasizes the importance of the PyMYC2 gene, which is linked to stone cell formation in pears. Overexpressing PyMYC2 in pear callus cultures resulted in increased lignin and stone cell content. This discovery positions PyMYC2 as a crucial target for breeding efforts, aimed at enhancing pear texture and quality.
According to Professor Jun Wu from Nanjing Agricultural University, “This research provides valuable genomic insights into pear domestication, particularly in understanding how deleterious mutations shape agronomic traits.” He added that the identification of PyMYC2 as a key regulator of stone cell content represents a breakthrough that could significantly inform future breeding strategies.
The implications of these findings extend to breeding programs, as targeting genes like PyMYC2 can lead to the development of new pear varieties with optimized traits. Breeders can focus on characteristics such as improved texture and disease resistance, ultimately enhancing the quality of pears available to consumers.
Moreover, the research suggests that modern molecular breeding techniques, including genome-wide selection, can mitigate the accumulation of harmful mutations in cultivated varieties. This approach is essential for producing healthier and more productive pear crops, particularly in response to the increasing global demand for high-quality fruit and the challenges posed by climate change.
The study received funding from the National Science Foundation of China and various agricultural programs, highlighting the ongoing commitment to advancing agricultural research. The work published in Horticulture Research contributes significantly to our understanding of pear genetics and offers innovative strategies for breeding resilient fruit varieties.
As the demand for high-quality pears continues to rise, the insights gained from this research are not only timely but critical for developing sustainable agricultural practices that can adapt to changing environmental conditions.
